تكون الورم الصماوي المتعدد النوع 2ب

تكون الورم الصماوي المتعدد من النوع 2 ب
الأسماء الأخرى'MEN2B, الورم العصبي المخاطي مع الغدد الصماء أورام, تكون الورم الصماوي النوع ال 3'متلازمة واجنمان فروبويز[1]
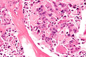
Medullary thyroid carcinoma - 2 - very high mag.jpg
صورة مجهرية لسرطان الغدة الدرقية اللبي ، كما يمكن رؤيته في MEN 2b. صبغة الهيماتوكسيلين ويوزين.
التخصصعلم الغدد الصماء Edit this on Marefadata

تكون الورم الصماوي المتعدد من النوع 2 ب هو مرض جيني يسبب أورامًا متعددة في الفم والعينين والغدد الصماء . وهو أكثر أنواع الأورام الصماء المتعددة شدة,[2] ويتميز بوجود أورام الفم الحميدة وتحت المخاطية بالإضافة إلى أورام الغدد الصماء الخبيثة. تم وصفه لأول مرة من قبل واجنمان في عام 1922 [3]وتم التعرف عليه لأول مرة كمتلازمة في 1965-1966 من قبل ED Williams و DJ Pollock .[4][5]

يظهر الورم الصماوي المتعدد من النوع 2 ب عادة قبل أن يبلغ الطفل 10 سنوات. يميل الأفراد المصابون إلى أن يكونوا طويلين ونحيفين ، ووجههم ممدود ، وشفاه مترهلة . تظهر الأورام الحميدة ( الأورام ) في الفم والعينين وتحت المخاطية لجميع الأعضاء تقريبًا في العقد الأول من العمر.[6] غالبًا ما يحدث سرطان الغدة الدرقية اللبي ، أحيانًا في مرحلة الطفولة. غالبا ما تكون عدوانية. يحدث سرطان الغدد الكظرية ( ورم القواتم ) في 50٪ من الحالات

تم اقتراح مجموعة متنوعة من المسميات للورم الصماوي المتعدد من النوع 2 ب ، مثل متلازمة ويليامز بولوك ، ومتلازمة جورلين فيكرز ، ومتلازمة واجنمان-فروبويز. ومع ذلك ، لم يكتسب أي منها جرًا كافيًا لاستحقاق الاستخدام المستمر ، ولم تعد تُستخدم في المنشورات الطبية.[7]

انتشار الورم الصماوي المتعدد من النوع 2 ب ليس ثابتًا بشكل جيد ، ولكنه مشتق من اعتبارات وبائية أخرى مثل 1 من 600000 [8] إلى 1 من كل 4،000،000.[9] تم تقدير الإصابة السنوية بـ 4 لكل 100 مليون في السنة.[10]

العلامات والاعراض

السمات السريرية الأكثر شيوعًا للورم الصماوي المتعدد من النوع 2 ب هي:[بحاجة لمصدر]

  • بنية جسم طويل ورفيع " مارفانويد" ، حيث يتم استطالة العظام الطويلة بشكل غير متناسب ؛
  • كتل تحت الأسطح المخاطية في الفم والشفتين والعينين (تم نقاشه في الاسفل) ؛
  • انخفاض كتلة العضلات ، وأحيانًا مع اعتلال عضلي ؛
  • مشاكل معدية معوية ، خاصة الإمساك.
  • الأعراض المشتقة من سرطان الغدة الدرقية اللبي ؛
  • الأعراض المشتقة من ورم القواتم ؛
  • تعظم الدروز الباكر;
  • جفاف العيون أو قلة الدموع.
  • تأخر البلوغ.
مريض مصاب بورم الغدد الصماء المتعددة من النوع 2 ب ، والذي يظهر مع أورام عصبية مخاطية.

على عكس متلازمة مارفان ، لا يتأثر الجهاز القلبي الوعائي وعدسة العين.[بحاجة لمصدر] الأورام العصبية المخاطية هي السمة الأكثر اتساقًا وتميزًا ، وتظهر في 100٪ من المرضى.[11] عادة ما يكون هناك العديد من العقيدات ذات اللون الأبيض المصفر ، لاطئة ، غير مؤلمة على الشفاه أو اللسان ، مع آفات أعمق ذات لون طبيعي. قد يكون هناك ما يكفي من الأورام العصبية في الشفتين لإنتاج تضخم وظهور "الشفاه المترهلة". يمكن رؤية عقيدات مماثلة على الصلبة والجفون.[بحاجة لمصدر]

تشريحيا، الورم العصبي يحتوي على لويحة عرضية مميزة من نسيج يتألف من فرط التنسج ،الشرايط المتداخلة من خلايا شوان والألياف النخاعية تتراكب على الأعمدة الخلفية للحبل الشوكي.[12] تتكون الأورام العصبية المخاطية من خلايا عصبية ، غالبًا مع منطقة ظهارة الحزمة العصبية سميكة ، متشابكة مع بعضها البعض في نمط الضفيرة. يُرى هذا النمط المتعرج من الأعصاب داخل خلفية سدى ليفي رخو شبيه بالغمد الليفي العصبي.[بحاجة لمصدر]

الاسباب

الاختلافات في الجين الورمي الأولي RET تسبب الورم الصماوي المتعدد من النوع 2 ب. في العقود الأخيرة ، لم يتم الإبلاغ عن حالة الورم الصماوي المتعدد من النوع 2 ب تفتقر إلى مثل هذا الاختلاف. متغير M918T وحده مسؤول عن حوالي 95٪ من الحالات.[13] يُعتقد أن جميع متغيرات الحمض النووي التي تسبب الورم الصماوي المتعدد من النوع 2 ب تعزز الإشارة من خلال بروتين RET ، وهو جزيء مستقبلات موجود في أغشية الخلايا ، والتي تعد روابطها جزءًا من نظام إشارات عامل النمو المحول بيتا. .[بحاجة لمصدر]

حوالي نصف الحالات موروثة من أحد الوالدين كصفة جسمية صبغية سائدة. يبدو أن النصف الآخر عبارة عن طفرات عفوية,[2] تنشأ عادةً في الأليل الأبوي,[14]خاصةً من الآجداد.[2] كما أن نسبة الجنس في الحالات الجديدة غير متساوية: فالأبناء هم أكثر عرضة للإصابة بالورم الصماوي المتعدد من النوع 2 ب مقارنة بالبنات.[2]

التشخيص

التشخيص التفريقي

يعد اختبار الحمض النووي الآن الطريقة المفضلة لتحديد تشخيص الورم الصماوي المتعدد من النوع 2 ب ، ويُعتقد أنه حساس ومحدد بنسبة 100 ٪ تقريبًا. جوردون وآخرون. أبلغوا عن حالات مرض مختلف - "متلازمة الورم العصبي المخاطي المتعدد" - التي لها النمط الظاهري الفيزيائي للورم الصماوي المتعدد من النوع 2 ب ، ولكن بدون اختلافات في جين RET.[15]

يجب أن يكون الورم الصماوي المتعدد من النوع 2 ب بمثابة تشخيص كلما وجد أن الشخص مصاب إما بسرطان الغدة الدرقية اللبي أو ورم القواتم. قبل أن يصبح اختبار الحمض النووي متاحًا ، كان قياس الكالسيتونين في الدم هو أهم اختبار معمل للورم الصماوي المتعدد من النوع 2 ب. يتم إنتاج الكالسيتونين بواسطة الخلايا "C" في الغدة الدرقية ، والتي تنتج كالسيتونين أكثر من المعتاد لأنها تكون دائمًا مفرطة التصنع أو خبيثة في الورم الصماوي المتعدد من النوع 2 ب. تظل مستويات الكالسيتونين واصمة قيمة للكشف عن تكرار سرطان الغدة الدرقية اللبي بعد استئصال الغدة الدرقية.[بحاجة لمصدر]

يحدد تلوين أزرق صامد للوكسول غلاف المايلين لبعض الألياف ، وتتفاعل خلايا الآفات كيميائيا هيستولوجيا مناعيا مع بروتين S-100 ، ونوع الكولاجين الرابع ، و فيمنتين ، و إنولاز خاص بالخلايا العصبية ، والخيوط العصبية. ستتفاعل الآفات الأكثر نضجًا أيضًا مع مستضد الغشاء الظهاري ، مما يشير إلى قدر معين من التمايز متعلق بظهارة الحزمة العصبية . الآفات المبكرة ، غنية بعديدات السكاريد المخاطية الحمضية ، تصبغ بشكل إيجابي باللون الأزرق الألسيان . عند وجود سرطان الغدة الدرقية اللبي ، ترتفع مستويات هرمون الكالسيتونين في المصل والبول..[13] تحت المجهر ، قد تشبه الأورام عن كثب الورم العصبي الرضحي ، لكن الحزم المتدفقة للورم العصبي المخاطي عادة ما تكون أكثر انتظامًا والأعصاب المتشابكة للورم العصبي الرضحي تفتقر إلى ظهارة الحزمة العصبية السميكة للورم العصبي المخاطي.[16] لا تظهر الخلايا الالتهابية في السدى ولا يوجد خلل التنسج في الأنسجة العصبية.

العلاج

بدون علاج، يموت الأشخاص المصابون بالورم الصماوي المتعدد من النوع 2 ب قبل الأوان.التفاصيل ناقصة ،بسبب عدم وجود دراسات رسمية ، ولكن يُفترض عمومًا أن الوفاة في الثلاثينيات نموذجية ما لم يتم إجراء استئصال الغدة الدرقية الوقائي ومراقبة ورم القواتم (انظر أدناه).ومع ذلك ، فإن النطاق متغير تمامًا: يمكن أن تحدث الوفاة في مرحلة مبكرة من الطفولة ، وقد تم تشخيص عدد قليل من الأشخاص غير المعالجين في الخمسينيات من العمر.[17] في الآونة الأخيرة ، تشير تجربة أكبر مع المرض"إلى أن المآل في مريض فردي قد يكون أفضل مما كان يُنظر إليه سابقًا"."[18]

يعتبر استئصال الغدة الدرقية الدعامة الأساسية للعلاج ، ويجب إجراؤه دون تأخير بمجرد إجراء تشخيص الورم الصماوي المتعدد من النوع 2 ب، حتى لو لم يتم اكتشاف ورم خبيث في الغدة الدرقية. بدون استئصال الغدة الدرقية ، يصاب جميع مرضى الورم الصماوي المتعدد من النوع 2 ب تقريبًا بسرطان الغدة الدرقية اللبي ، بشكل أكثر عدوانية من الورم الصماوي المتعدد من النوع 2 أ.[13][19] السن المثالي لإجراء الجراحة هو 4 سنوات أو أقل ، حيث قد ينتشر السرطان قبل سن العاشرة.[14]

ورم القواتم - وهو ورم يفرز الهرمون في الغدد الكظرية - موجود أيضًا في 50٪ من الحالات.[14] يتم تشجيع الأفراد المتضررين على إجراء فحوصات سنوية لسرطان الغدة الدرقية والغدة الكظرية..[بحاجة لمصدر]

نظرًا لأن استئصال الغدة الدرقية الوقائي يحسن البقاء على قيد الحياة ، يجب تقييم أقارب الدم للشخص المصاب بالورم الصماوي المتعدد من النوع 2 ب ، حتى لو كانت تفتقر إلى العلامات والأعراض النموذجية للاضطراب.[بحاجة لمصدر]الأورام العصبية المخاطية لهذه المتلازمة تكون بدون أعراض ومحددة ذاتيًا ، ولا تمثل أي مشكلة تتطلب العلاج. ومع ذلك ، يمكن إزالتها جراحيًا لأغراض جمالية أو في حالة تعرضهم للصدمات المستمرة.

فرضية ابراهام لينكولن

في عام 2007 ، افترض الدكتور جون سوتوس أن الرئيس أبراهام لينكولن عاني من الورم الصماوي المتعدد من النوع 2 ب.[20] تشير هذه النظرية إلى أن لينكولن كان لديه جميع السمات الرئيسية للمرض: بنية جسم يشبه مارفان ، وشفاه كبيرة ومترهلة ، وإمساك ، ونقص التوتر العضلي ، وتاريخ متوافق مع السرطان وتاريخ عائلي للمرض - أبناؤه إيدي وويلي و تاد ، وربما والدته. يُقترح أيضًا "رحي" على خد لنكولن الأيمن ، وعدم تناسق وجهه ، وفكه الكبير ، وجفنه المتدلي ، و "الاكتئاب الزائف" كمظاهر للورم الصماوي المتعدد من النوع 2 ب. تعمير لينكولن (يموت في 56 من جرح طلقاني وبدون أي إشارة واضحة إلى اعتلال الصحة بخلاف ذلك) هو التحدي الرئيسي لنظرية الورم الصماوي المتعدد من النوع 2 ب ، والتي يمكن إثباتها من خلال اختبار الحمض النووي.[21][22]

انظر ايضا

المراجع

  1. ^ Rapini, Ronald P.; Bolognia, Jean L.; Jorizzo, Joseph L. (2007). Dermatology: 2-Volume Set. St. Louis: Mosby. p. 858. ISBN 978-1-4160-2999-1.
  2. ^ أ ب ت ث Carlson KM, Bracamontes J, Jackson CE, et al. (December 1994). "Parent-of-origin effects in multiple endocrine neoplasia type 2B". Am. J. Hum. Genet. 55 (6): 1076–82. PMC 1918453. PMID 7977365.
  3. ^ Wagenmann A. (1922). "Multiple neurome des Auges und der Zunge". Ber Dtsch Ophthalmol Ges. 43: 282–5{{inconsistent citations}}{{cite journal}}: CS1 maint: postscript (link)
  4. ^ Williams ED (1965). "A review of 17 cases of carnicoma of the thyroid and phaeochromocytoma". J Clin Pathol. 18 (3): 288–292. doi:10.1136/jcp.18.3.288. PMC 472926. PMID 14304238.
  5. ^ Williams, E. D., Pollock, D. J. (1966). "Multiple mucosal neuromata with endocrine tumours: a syndrome allied to von Recklinghausen's disease". J. Pathol. Bacteriol. 91 (1): 71–80. doi:10.1002/path.1700910109. PMID 4957444.{{cite journal}}: CS1 maint: multiple names: authors list (link)
  6. ^ Fryns JP, Chrzanowska K (October 1988). "Mucosal neuromata syndrome (MEN type IIb (III))". J. Med. Genet. 25 (10): 703–6. doi:10.1136/jmg.25.10.703. PMC 1051565. PMID 2906373.
  7. ^ Schimke RN, Hartmann WH, Prout TE, Rimoin DL (1968). "Syndrome of bilateral pheochromocytoma, medullary thyroid carcinoma and multiple neuromas. A possible regulatory defect in the differentiation of chromaffin tissue". N. Engl. J. Med. 279 (1): 1–7. doi:10.1056/NEJM196807042790101. PMID 4968712.
  8. ^ Marx, Stephen J (2011). "Chapter 41: Multiple endocrine neoplasia". In Melmed, Shlomo (ed.). Williams Textbook of Endocrinology, 12th ed. pp. 1728–1767.
  9. ^ Moline J, Eng C (2011). "Multiple endocrine neoplasia type 2: an overview". Genetics in Medicine. 13 (9): 755–764. doi:10.1097/GIM.0b013e318216cc6d. PMID 21552134. S2CID 22402472.
  10. ^ Martino Ruggieri (2005). Neurocutaneous Disorders : The Phakomatoses. Berlin: Springer. ISBN 978-3-211-21396-4. - Chapter: Multiple Endocrine Neoplasia Type 2B by Electron Kebebew, Jessica E. Gosnell and Emily Reiff. Pages 695-701. [1] This reference quotes a prevalence of 1 in 40,000, but this figure is inconsistent with the same reference's calculated incidence of 4 per 100 million per year for MEN2B.
  11. ^ Pujol RM, Matias-Guiu X, Miralles J, Colomer A, de Moragas JM (August 1997). "Multiple idiopathic mucosal neuromas: a minor form of multiple endocrine neoplasia type 2B or a new entity?". J. Am. Acad. Dermatol. 37 (2 Pt 2): 349–52. doi:10.1016/S0190-9622(97)70025-2. PMID 9270546.
  12. ^ Dyck, PJ (October 1979). "Multiple endocrine neoplasia, type 2b: phenotype recognition; neurological features and their pathological basis". Annals of Neurology. 6 (4): 302–314. doi:10.1002/ana.410060404. PMID 554522. S2CID 24328061{{inconsistent citations}}{{cite journal}}: CS1 maint: postscript (link)
  13. ^ أ ب ت Sperling, Mark A. (2008). Pediatric Endocrinology (3 ed.). Elsevier Health Sciences. pp. 246–7. ISBN 978-1-4160-4090-3{{inconsistent citations}}{{cite book}}: CS1 maint: postscript (link)
  14. ^ أ ب ت Morrison PJ, Nevin NC (September 1996). "Multiple endocrine neoplasia type 2B (mucosal neuroma syndrome, Wagenmann-Froboese syndrome)". J. Med. Genet. 33 (9): 779–82. doi:10.1136/jmg.33.9.779. PMC 1050735. PMID 8880581.
  15. ^ Gordon CM, Majzoub JA, Marsh DJ, Mulliken JB, Ponder BA, Robinson BG, Eng C (Jan 1998). "Four cases of mucosal neuroma syndrome: multiple endocrine neoplasm 2B or not 2B?". J Clin Endocrinol Metab. 83 (1): 17–20. doi:10.1210/jc.83.1.17. PMID 9435410.{{cite journal}}: CS1 maint: multiple names: authors list (link)
  16. ^ R. L. Miller; N. J. Burzynski; B. L. Giammara (1977). "The ultrastructure of oral neuromas in multiple mucosal neuromas, pheochromocytoma, medullary thyroid carcinoma syndrome". Journal of Oral Pathology & Medicine. 6 (5): 253–63. doi:10.1111/j.1600-0714.1977.tb01647.x. PMID 409817. Archived from the original on 2012-10-13{{inconsistent citations}}{{cite journal}}: CS1 maint: postscript (link)
  17. ^ Sizemore GW, Carney JA, Gharib H, Capen CC (1992). "Multiple endocrine neoplasia type 2B: eighteen-year follow-up of a four-generation family". Henry Ford Hosp Med J. 40 (3–4): 236–244. PMID 1362413.
  18. ^ Hoff, AO; Gagel, RF (2006). "Chapter 192: Multiple endocrine neoplasia type 2". In DeGroot, LJ; Jameson, JL (eds.). Endocrinology (5th ed.). Philadelphia: Elsevier-Saunders. pp. 3533–3550. ISBN 978-0721603766.
  19. ^ Lester W. Burket; Martin S. Greenberg; Michaël Glick; Jonathan A. Ship (2008). Burket's oral medicine (11 ed.). PMPH-USA. p. 141. ISBN 978-1-55009-345-2{{inconsistent citations}}{{cite book}}: CS1 maint: postscript (link)
  20. ^ Sotos, JG (2008). The Physical Lincoln: Finding the Genetic Cause of Abraham Lincoln's Height, Homeliness, Pseudo-Depression, and Imminent Cancer Death. Mount Vernon, VA: Mt. Vernon Book Systems.
  21. ^ Scientist Wants to Test Abraham Lincoln's Bloodstained Pillow for Cancer Discover Magazine April 20, 2009
  22. ^ Lincoln's Shroud of Turin, Philadelphila Inquirer, April 13, 2009

وصلات خارجية

Classification
V · T · D
External resources