تشوه شرياني وريدي
| تشوه شرياني وريدي | |
|---|---|
| الأسماء الأخرى | AVM |
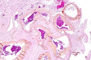
| صورة مجهرية لتشوه شرياني وريدي في المخ. HPS stain. | |
| التخصص | جراحة الأعصاب |
الشوه الشرياني الوريدي (إنگليزية: Arteriovenous malformation)، هو اتصال غير طبيعي بين الشرايين والأوردة ، متجاوزًا نظام الشعيرات الدموية . هذا الشذوذ الوعائي معروف على نطاق واسع بسبب حدوثه في الجهاز العصبي المركزي (عادة التشوه الشرياني الوريدي الدماغي ) ، ولكن يمكن أن يظهر في أي مكان. على الرغم من أن العديد من أنواع التشوه الشرياني الوريدي تكون بلا اعراض ، إلا أنها قد تسبب ألمًا شديدًا أو نزيفًا أو تؤدي إلى مشاكل طبية خطيرة أخرى..
عادة ما تكون التشوهات الشريانية الوريدية خلقيًا وتنتمي إلى RASopathies. إن أنماط النقل الجيني للألواح الشريانية الوريدية غير مكتملة ، ولكن هناك طفرات جينية معروفة (على سبيل المثال في الخط الظهاري ، جين PTEN المثبط للورم) والتي يمكن أن تؤدي إلى زيادة حدوثها في جميع أنحاء الجسم.
مقدمة
التشوه الشرياني الوريدي هو مجموعة غير طبيعية من الأوعية الدموية. تتكون معظم التشوهات الشريانية الوريدية من نوعين مختلفين من الأوعية الدموية - الشرايين والأوردة. الشرايين هي أوعية دموية كبيرة تنقل الدم من القلب إلى الجسم. الأوردة هي أوعية دموية كبيرة تنقل الدم من الجسم إلى القلب. تتضمن بعض التشوهات الشريانية الوريدية أيضًا أوعية دموية صغيرة تسمى الشعيرات الدموية.[1]
ينتقل الدم عادة من القلب عبر الشرايين إلى أنسجة الجسم. ثم ينتقل الدم عبر الشعيرات الدموية لجلب العناصر الغذائية إلى الأنسجة. بعد مرور الدم عبر الأنسجة ، يدخل الدم إلى الأوردة التي تعيده إلى القلب.
في حالة التشوه الشرياني الوريدي ، تكون الأوعية الدموية غير المنتظمة غير منظمة وينتقل الدم مباشرة من الشرايين إلى الأوردة. على عكس الأوعية الدموية الطبيعية ، فإن الأوعية الدموية في التشوه الشرياني الوريدي لا توفر العناصر الغذائية للأنسجة المحيطة. يمكن أن تتطور التشوهات الشريانية الوريدية في أي مكان في الجسم على الرغم من أن المواقع الأكثر شيوعًا هي الدماغ والنخاع الشوكي والكبد.
يمكن أن تنزف الأوعية الدموية غير الطبيعية في التشوهات الشريانية الوريدية وتتلف الأنسجة المحيطة. يمكن أن يكون هذا خطيرًا بشكل خاص إذا كان التشوه الشرياني الوريدي موجودًا في الدماغ أو النخاع الشوكي. يمكن أيضًا أن تضغط التشوهات الشريانية الوريدية الكبيرة على الأنسجة الطبيعية المحيطة وتتلفها. تعتمد الأعراض على مكان وجود التشوه الشرياني الوريدي في الجسم.
الأعراض والعلامات
تختلف أعراض التشوه الشرياني الوريدي حسب مكان التشوه. ما يقرب من 88٪[2] من المصابين بالتشوه الشرياني الوريدي لا تظهر عليهم أعراض ؛ غالبًا ما يُكتشف التشوه كجزء من تشريح الجثة أو أثناء علاج اضطراب ليس له صلة (يُطلق عليه في الطب "اكتشافات عرضية") ؛ في حالات نادرة ، يمكن أن يتسبب توسعه أو نزيفه دقيق من تشوه شرياني في الدماغ في حدوث صرع أو عجز عصبي أو ألم.
تشمل الأعراض الأكثر شيوعًا للتشوه الشرياني الوريدي الصداع ونوبات الصرع ، مع ظهور أعراض أكثر تحديدًا والتي تعتمد عادةً على موقع التشوه والفرد. تشمل هذه الأعراض المحتملة::[3]
- صعوبات في تنسيق الحركة ، بما في ذلك ضعف العضلات وحتى الشلل ؛
- دوار (دوخة).
- صعوبات في الكلام ( رتة) والتواصل ، مثل الحبسة ؛
- صعوبات في الأنشطة اليومية ، مثل العمه الحركي .
- أحاسيس غير طبيعية (خدر ، وخز ، أو ألم تلقائي) ؛
- مشاكل متعلقة بالذاكرة والتفكير ، مثل الخلط أو الخرف أو الهلوسة .
قد تظهر التَشوّهات الشريانية الوريدية الدماغية نفسها بعدة طرق مختلفة:
- نزيف (45٪ من الحالات).
- بداية حادة من الصداع الشديد. قد يوصف بأنه أسوأ صداع في حياة المريض. اعتمادًا على موقع النزيف ، قد يترافق مع عجز عصبي ثابت جديد. في حالات التشوه الشرياني الوريدي في الدماغ الغير ممزقة ، قد يكون خطر حدوث نزيف تلقائي منخفضًا بنسبة 1٪ سنويًا. بعد التمزق الأول ، قد يزيد خطر النزيف السنوي إلى أكثر من 5٪.[4]
- نوبة أو نوبة دماغية (46٪) اعتمادًا على مكان التشوه الشرياني الوريدي ، يمكن أن يسبب فقدان الرؤية في مكان واحد.
- صداع (34٪).
- العجز العصبي المترقي (21٪)
- قد يكون ناتجًا عن تأثير جماعي أو توسع وريدي. يعتمد وجود وطبيعة النقيصة على موقع الآفة والأوردة الاستنضابية.[5]
- الأطفال المرضى
- قصور القلب
- ضخامة الرأس
- أوردة بارزة في فروة الرأس
التشوهات الشريانية الوريدية الرئوية
التشوهات الشريانية الوريدية الرئوية هي اتصالات غير طبيعية بين الأوردة وشرايين الدورة الدموية الصغري ، مما يؤدي إلى تحويلة دموية من اليمين إلى اليسار.[6][7] ليس لديهم أعراض في ما يصل إلى 29٪ من جميع الحالات,[8] ومع ذلك يمكن أن تؤدي إلى مضاعفات خطيرة بما في ذلك النزيف والعدوى.[6] ترتبط بشكل شائع بتوسع الشعيرات النزفي الوراثي.[7]
الجينات
يمكن أن يحدث بسبب أمراض جسمية سائدة ، مثل توسع الشعيرات النزفي الوراثي.[citation needed]
الفسيولوجيا المرضية
الشرايين والأوردة جزء من نظام الأوعية الدموية . تنقل الشرايين الدم بعيدًا عن القلب إلى الرئتين أو باقي الجسم ، حيث يمر الدم عبر الشعيرات الدموية ، وتعيد الأوردة الدم إلى القلب. يتدخل التشوه الشرياني الوريدي في هذه العملية عن طريق تكوين اتصال مباشر بين الشرايين والأوردة. يمكن أن يسبب تشوه الشرياني الوريدي ألمًا شديدًا وتؤدي إلى مشاكل طبية خطيرة. على الرغم من أن التشوه الشرياني الوريدي غالبًا ما يرتبط بالدماغ والحبل الشوكي ، إلا أنه يمكن أن يتطور في أي جزء من الجسم.
عادةً ما تحمل الشرايين في الجهاز الوعائي دمًا غنيًا بالأكسجين ، إلا في حالة الشريان الرئوي. من الناحية الهيكلية ، تنقسم الشرايين وتنقسم جزئيًا بشكل متكرر ، وتشكل في النهاية سرير الشعيرات يشبه الإسفنج. ينتقل الدم عبر الشعيرات الدموية ، ويترك الأكسجين ويأخذ الفضلات ، بما في ذلك قالب:كيم ، من الخلايا المحيطة. تتحد الشعيرات الدموية بدورها معًا على التوالي لتشكل عروقًا تحمل الدم بعيدًا. يعمل القلب على ضخ الدم عبر الشرايين وامتصاص الدم الوريدي.
نظرًا لأن التشوه الشرياني الوريدي يفتقر إلى التأثير الكابح للشعيرات الدموية على تدفق الدم ، يمكن أن يزداد حجم التشوه الشرياني الوريدي تدريجيًا بمرور الوقت مع زيادة كمية الدم المتدفق من خلاله ، مما يضطر القلب إلى العمل بجدية أكبر لمواكبة تدفق الدم الإضافي. كما أنه يتسبب في حرمان المنطقة المحيطة من وظائف الشعيرات الدموية - إزالة CO2 ـ إيصال المغذيات إلى الخلايا. لا يحتوي تشابك الأوعية الدموية الناتج ، والذي يُطلق عليه غالبًا بؤرة مرضية (كلمة لاتينية تعني "nest") ، على شعيرات دموية. يمكن أن يكون هشًا للغاية وعرضة للنزيف بسبب الوصلات المباشرة غير الطبيعية بين الشرايين ذات الضغط العالي والأوردة ذات الضغط المنخفض.[9] والعلامة الناتجة ، التي تُسمع عبر سماعة الطبيب ، هي صوت صفير إيقاعي ناتج عن تدفق الدم بسرعة مفرطة عبر الشرايين والأوردة. وقد أطلق عليه مصطلح "لغط" الضوضاء بالفرنسية . في بعض الحالات ، قد يدرك المريض المصاب بالتشوه الشرياني الوريدي الدماغي الضجيج ، مما قد يضر بالسمع ويتداخل مع النوم بالإضافة إلى التسبب في ضائقة نفسية.
التشخيص


يتم تشخيص التشوه الشرياني الوريدي بشكل أساسي من خلال طرق التصوير التالية:
- التصوير المقطعي المحوسب (CT) هو عبارة عن أشعة سينية غير باضعة لعرض الهياكل التشريحية داخل الدماغ لاكتشاف الدم في الدماغ أو حوله. تتضمن تقنية أحدث تسمى تصوير الأوعية المقطعية المحوسبة حقن التباين في مجرى الدم لعرض شرايين الدماغ. يوفر هذا النوع من الاختبارات أفضل صور الأوعية الدموية من خلال تصوير الأوعية والأنسجة الرخوة من خلال التصوير المقطعي المحوسب.
- يعد التصوير بالرنين المغناطيسي (MRI) اختبارًا غير باضع ، يستخدم مجالًا مغناطيسيًا وموجات تردد الراديو لإعطاء رؤية مفصلة للأنسجة الرخوة للدماغ.
- تصوير الأوعية بالرنين المغناطيسي (MRA) - فحوصات تم إنشاؤها باستخدام التصوير بالرنين المغناطيسي لتصوير الأوعية الدموية وهياكل الدماغ على وجه التحديد. يمكن أن يكون تصوير الأوعية بالرنين المغناطيسي إجراءً جائرًا ، يتضمن إدخال صبغات التباين (على سبيل المثال ، عوامل تباين الجادولينيوم MR) في الأوعية الدموية للمريض باستخدام قسطرة يتم إدخالها في الشريان وتمريرها عبر الأوعية الدموية إلى الدماغ. بمجرد وضع القسطرة في مكانها ، يتم حقن صبغة التباين في مجرى الدم ويتم التقاط صور التصوير بالرنين المغناطيسي. بالإضافة إلى ذلك أو بدلاً من ذلك ، يمكن استخدام تقنيات التصوير بالرنين المغناطيسي المعتمدة على التدفق أو غيرها من تقنيات التصوير بالرنين المغناطيسي لتحديد الموقع والخصائص الأخرى للأوعية الدموية
يمكن أن تحدث التَشوّهات الشريانية الوريدية في أجزاء مختلفة من الجسم:
- الدماغ ( تشوه شرياني وريدي دماغي )
- طحال[10]
- رئة[11][12]
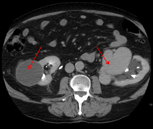
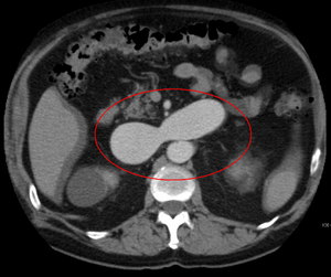
- كلية[13]
- نخاع شوكي[14]
- كبد[15]
- الحيز الوربي[16]
- قزحية[17]
- الحبل المنوي[18]
- الأطراف - الذراع والكتف وما إلى ذلك.
قد تحدث التشوهات الشريانية الوريدية معزولة أو كجزء من مرض آخر (على سبيل المثال ، داء فون هيبل لينداو أو توسع الشعيرات النزفي الوراثي ).
لقد ثبت أن التشوه الشرياني الوريدي يرتبط بتضيق الأبهر.[19]
يمكن أن يكون النزيف من التشوه الشرياني الوريدي خفيفًا نسبيًا أو مدمرًا. يمكن أن يسبب سكتات دماغية شديدة وقاتلة في كثير من الأحيان. إذا تم الكشف عن التشوه الشرياني الوريدي الدماغي قبل حدوث السكتة الدماغية ، فعادة ما يمكن إغلاق الشرايين التي تغذي الدم في البؤرة المرضية لتجنب الخطر. ومع ذلك ، قد يكون العلاج التدخلي محفوفًا بالمخاطر نسبيًا.
العلاج
يمكن أن يكون علاج التشوه الشرياني الوريدي الدماغي هو علاج الأعراض ، ويجب أن يتبع المرضى طبيب أعصاب في حالة حدوث أي نوبات أو صداع أو عجز عصبي بؤري. قد يشمل العلاج الخاص بالتشوه الشرياني الوريدي أيضًا إصمام الأوعية الدموية أو جراحة الأعصاب أو الجراحة الإشعاعية.[3] يمكن استخدام الانصمام ، أي قطع إمداد الدم إلى التشوه الشرياني الوريدي باستخدام لفائف أو جزيئات أو أكريلات أو بوليمرات يتم إدخالها بواسطة قسطرة موجهة بالأشعة ، بالإضافة إلى جراحة الأعصاب أو الجراحة الإشعاعية ، ولكن نادرًا ما ينجح في العزل إلا في حالات التشوه الشرياني الوريدي الأصغر.[20] يمكن أيضًا استخدام سكين جاما.[21]
عادةً ما يتم إجراء علاج التشوه الشرياني الوريدي الرئوي عن طريق إصمام الأوعية الدموية وحده ، والذي يعتبر معيار الرعاية. [22]
علم الأوببئة
معدل الكشف التقديري عن التشوه الشرياني الوريدي في عموم سكان الولايات المتحدة هو 1.4 / 100،000 في السنة.[23] Tهذا هو ما يقرب من خمس إلى سبع حالات تمدد الأوعية الدموية داخل الجمجمة. ما يقدر بنحو 300000 أمريكي يعانون من التشوه الشرياني الوريدي ، من بينهم 12 ٪ (حوالي 36000) ستظهر عليهم أعراض متفاوتة الخطورة .[3]
التاريخ
وصف لوشكا (1820–1875) و رودلف فيرخوف (1821–1902) لأول مرة التشوهات الشريانية الوريدية في منتصف القرن التاسع عشر. أجرى اوليفكرونا (1891-1980) أول استئصال جراحي للتشوه الشرياني الوريدي داخل الجمجمة في عام 1932.
المجتمع والثقافة
حالات شهيرة
- الممثلة الإندونيسية إجيديا سافيتري (en) ماتت من مضاعفات التشوه الشرياني الوريدي في 29 نوفمبر 2013.[24]
- كاد حارس نقطة فينيكس صنز إيه جاي برايس يموت من التشوه الشرياني الوريدي في عام 2004 عندما كان طالبًا في جامعة كونيتيكت .
- في 13 كانون الأول (ديسمبر) 2006 ، تم تشخيص السناتور تيم جونسون من ولاية ساوث داكوتا بأنه مصاب بالتشوه الشرياني الوريدي وعولج في مستشفى جامعة جورج واشنطن.[25]
- في 3 أغسطس 2011 ، انهار مايك باترسون من فريق فيلادلفيا إيجلز في الميدان وعانى من نوبة صرع أثناء ممارسة ، مما أدى إلى تشخيصه بمرض التشوه الشرياني الوريدي..[26]
- ولد الممثل ريكاردو مونتالبان مصابًا بالتشوه الشرياني الوريدي الشوكي..[27] أثناء تصوير فيلم 1951 عبر ميزوري الواسع ، تم إلقاء مونتالبان من حصانه ، وفقد الوعي ، وداس من قبل حصان آخر مما أدى إلى تفاقم التشوه الشرياني الوريدي الخاص به وأدى إلى إصابة مؤلمة في الظهر لم تلتئم أبدًا. ازداد الألم مع تقدمه في العمر ، وفي عام 1993 ، خضع مونتالبان لعملية جراحية في العمود الفقري لمدة 9 ساعات ونصف ، مما جعله مشلولًا أسفل الخصر ويستخدم كرسيًا متحركًا.[28]
- تم تشخيص الممثل / الممثل الكوميدي تي جاي ميلر بأنه مصاب بالتشوه الشرياني الوريدي بعد تصوير فيلم Yogi Bear في نيوزيلندا في عام 2010 ؛ وصف ميللر تجربته مع المرض في بودكاست بيت هولمز You Made It Weird في 28 أكتوبر 2011 ، حيث تخلص من جانبه الكوميدي للحظة وأصبح أكثر فلسفية ، وسرد سلوكياته وعدم قدرته على النوم خلال ذلك الوقت. لقد عانى من نوبة عند عودته إلى لوس أنجلوس وخضع لعملية جراحية بنجاح كان معدل الوفيات فيها عشرة بالمائة.[29]
- عانى عازف الجاز بات مارتينو من التشوه الشرياني الوريدي وبالتالي أصيب بفقدان الذاكرة والاكتئاب الهوسي. في النهاية أعاد تعلم العزف على الجيتار من خلال الاستماع إلى تسجيلاته الخاصة قبل تمدد الأوعية الدموية. لا يزال يسجل ويؤدي حتى يومنا هذا..[30]
- وُلدت مدوّنة الفيديو على YouTube نيكي ليلي (Nikki Christou) ، الفائزة بموسم 2016 من Junior Bake Off ، مصابة بالتشوه الشرياني الوريدي ، مما أدى إلى بعض التشوهات في الوجه..[31]
- تم تشخيص الملحن والشاعر ويليام فين بأنه مصاب بالتشوه الشرياني الوريدي وخضع لجراحة غاما نايف في سبتمبر 1992 ، بعد فترة وجيزة من فوزه بجائزة توني لعام 1992 لأفضل موسيقى ، التي مُنحت لـ " فالسيتوس". [32] كتب فين 1998 Off-Broadway الموسيقية A New Brain عن التجربة..
- تم تشخيص إصابة لاعب وسط فلوريدا جاتورز وأوكلاند رايدرز ، نيرون بول ، بالتشوه الشرياني الوريدي في عام 2011 أثناء اللعب في فلوريدا ، لكنه تعافى وتم السماح له باللعب. في 16 سبتمبر 2018 ، تم وضع بول في غيبوبة طبية بسبب مضاعفات المرض ، والتي استمرت حتى وفاته في 10 سبتمبر 2019..[33]
- تم تشخيص إصابة مغني موسيقى الريف دريك وايت بالتشوه الشرياني الوريدي في يناير 2019 ، وهو يخضع للعلاج.
الأبحاث
على الرغم من سنوات عديدة من البحث ، لم تتم الإجابة على السؤال الرئيسي حول ما إذا كان يجب علاج التشوهات الشريانية الوريدية. جميع العلاجات ، سواء التي تنطوي على الجراحة أو العلاج الإشعاعي أو الأدوية ، لها مخاطر وآثار جانبية. لذلك ، قد يكون من الأفضل في بعض الحالات تجنب العلاج تمامًا وقبول خطر ضئيل للتعرض للضرر من التشوه الشرياني الوريدي نفسه. هذا السؤال يتم تناوله حاليًا في التجارب السريرية.[34]
انظر أيضاً
المصادر
- ^ "تشوهات وريدية شريانية". mypathologyreport. 2021-04-11. Retrieved 2021-04-11.
- ^ "National Institute of Neurological Disorders and Stroke". nih.gov. Retrieved 17 March 2018.
- ^ أ ب ت Arteriovenous Malformation Information Page at NINDS
- ^ Stapf, C.; Mast, H.; Sciacca, R. R.; Choi, J. H.; Khaw, A. V.; Connolly, E. S.; Pile-Spellman, J.; Mohr, J. P. (2006). "Predictors of hemorrhage in patients with untreated brain arteriovenous malformation". Neurology. 66 (9): 1350–5. doi:10.1212/01.wnl.0000210524.68507.87. PMID 16682666.
- ^ Choi, J.H.; Mast, H.; Hartmann, A.; Marshall, R.S.; Pile-Spellman, J.; Mohr, J.P.; Stapf, C. (2009). "Clinical and morphological determinants of focal neurological deficits in patients with unruptured brain arteriovenous malformation". Journal of the Neurological Sciences. 287 (1–2): 126–30. doi:10.1016/j.jns.2009.08.011. PMC 2783734. PMID 19729171.
- ^ أ ب Reichert, M; Kerber, S; Alkoudmani, I; Bodner, J (April 2016). "Management of a solitary pulmonary arteriovenous malformation by video-assisted thoracoscopic surgery and anatomic lingula resection: video and review". Surgical Endoscopy. 30 (4): 1667–9. doi:10.1007/s00464-015-4337-0. PMID 26156615.
- ^ أ ب Tellapuri, S; Park, HS; Kalva, SP (August 2019). "Pulmonary arteriovenous malformations". The international journal of cardiovascular imaging. 35 (8): 1421–1428. doi:10.1007/s10554-018-1479-x. PMID 30386957.
- ^ Goodenberger DM (2008). "Chapter 84 Pulmonary arteriovenous malformations". Fishman's Pulmonary Diseases and Disorders (4th ed.). McGraw-Hill. p. 1470. ISBN 978-0-07-145739-2.
- ^ Mouchtouris N, Jabbour PM, Starke RM, Hasan DM, Zanaty M, Theofanis T, Ding D, Tjoumakaris SI, Dumont AS, Ghobrial GM, Kung D, Rosenwasser RH, Chalouhi N. Biology of cerebral arteriovenous malformations with a focus on inflammation. J Cereb Blood Flow Metab. 2015 Feb;35(2):167-75. doi: 10.1038/jcbfm.2014.179. Epub 2014 Nov 19. PMID: 25407267; PMCID: PMC4426734.
- ^ Agrawal, Aditya; Whitehouse, Richard; Johnson, Robert W.; Augustine, Titus (2006). "Giant splenic artery aneurysm associated with arteriovenous malformation". Journal of Vascular Surgery. 44 (6): 1345–9. doi:10.1016/j.jvs.2006.06.049. PMID 17145440.
- ^ Chowdhury, Ujjwal K.; Kothari, Shyam S.; Bishnoi, Arvind K.; Gupta, Ruchika; Mittal, Chander M.; Reddy, Srikrishna (2009). "Successful Lobectomy for Pulmonary Arteriovenous Malformation Causing Recurrent Massive Haemoptysis". Heart, Lung and Circulation. 18 (2): 135–9. doi:10.1016/j.hlc.2007.11.142. PMID 18294908.
- ^ Cusumano, Lucas R.; Duckwiler, Gary R.; Roberts, Dustin G.; McWilliams, Justin P. (2019-08-30). "Treatment of Recurrent Pulmonary Arteriovenous Malformations: Comparison of Proximal Versus Distal Embolization Technique". Cardiovascular and Interventional Radiology. doi:10.1007/s00270-019-02328-0. ISSN 1432-086X. PMID 31471718.
- ^ Barley, Fay L.; Kessel, David; Nicholson, Tony; Robertson, Iain (2006). "Selective Embolization of Large Symptomatic Iatrogenic Renal Transplant Arteriovenous Fistula". CardioVascular and Interventional Radiology. 29 (6): 1084–7. doi:10.1007/s00270-005-0265-z. PMID 16794894.
- ^ Kishi, K; Shirai, S; Sonomura, T; Sato, M (2005). "Selective conformal radiotherapy for arteriovenous malformation involving the spinal cord". The British Journal of Radiology. 78 (927): 252–4. doi:10.1259/bjr/50653404. PMID 15730991.
- ^ Bauer, Tilman; Britton, Peter; Lomas, David; Wight, Derek G.D.; Friend, Peter J.; Alexander, Graeme J.M. (1995). "Liver transplantation for hepatic arteriovenous malformation in hereditary haemorrhagic telangiectasia". Journal of Hepatology. 22 (5): 586–90. doi:10.1016/0168-8278(95)80455-2. PMID 7650340.
- ^ Rivera, Peter P.; Kole, Max K.; Pelz, David M.; Gulka, Irene B.; McKenzie, F. Neil; Lownie, Stephen P. (2006). "Congenital Intercostal Arteriovenous Malformation". American Journal of Roentgenology. 187 (5): W503–6. doi:10.2214/AJR.05.0367. PMID 17056881.
- ^ Shields, Jerry A.; Streicher, Theodor F. E.; Spirkova, Jane H. J.; Stubna, Michal; Shields, Carol L. (2006). "Arteriovenous Malformation of the Iris in 14 Cases". Archives of Ophthalmology. 124 (3): 370–5. doi:10.1001/archopht.124.3.370. PMID 16534057.
- ^ Sountoulides, Petros; Bantis, Athanasios; Asouhidou, Irene; Aggelonidou, Hellen (2007). "Arteriovenous malformation of the spermatic cord as the cause of acute scrotal pain: a case report". Journal of Medical Case Reports. 1: 110. doi:10.1186/1752-1947-1-110. PMC 2194703. PMID 17939869.
{{cite journal}}: CS1 maint: unflagged free DOI (link) - ^ Batur, Pelin; Stewart, William J.; Isaacson, J. Harry (2003). "Increased Prevalence of Aortic Stenosis in Patients With Arteriovenous Malformations of the Gastrointestinal Tract in Heyde Syndrome". Archives of Internal Medicine. 163 (15): 1821–4. doi:10.1001/archinte.163.15.1821. PMID 12912718.
- ^ Jafar, Jafar J.; Davis, Adam J.; Berenstein, Alejandro; Choi, In Sup; Kupersmith, Mark J. (1993-01-01). "The effect of embolization with N-butyl cyanoacrylate prior to surgical resection of cerebral arteriovenous malformations". Journal of Neurosurgery. 78 (1): 60–69. doi:10.3171/jns.1993.78.1.0060. ISSN 0022-3085. PMID 8416244.
- ^ "Conditions We Treat". Macquarie University Hospital. Archived from the original on 2013-06-13.
- ^ Cusumano, Lucas R.; Duckwiler, Gary R.; Roberts, Dustin G.; McWilliams, Justin P. (2019-08-30). "Treatment of Recurrent Pulmonary Arteriovenous Malformations: Comparison of Proximal Versus Distal Embolization Technique". Cardiovascular and Interventional Radiology. doi:10.1007/s00270-019-02328-0. ISSN 1432-086X. PMID 31471718.
- ^ Stapf, C.; Mast, H.; Sciacca, R.R.; Berenstein, A.; Nelson, P.K.; Gobin, Y.P.; Pile-Spellman, J.; Mohr, J.P. (2003). "The New York Islands AVM Study: Design, Study Progress, and Initial Results". Stroke. 34 (5): e29–33. doi:10.1161/01.STR.0000068784.36838.19. PMID 12690217.
- ^ Suhendra, Ichsan. "Pesinetron Egidia Savitri Telah Pergi". KOMPAS.com (in الإندونيسية). Kompas Cyber Media. Retrieved 15 May 2019.
- ^ "Sen. Johnson recovering after brain surgery". AP. December 14, 2006.
- ^ "Mike Patterson's Collapse Reportedly Related To Brain AVM". sbnation.com. 2011-08-04. Retrieved 17 March 2018.
- ^ "Ricardo Montalban tribute" YouTube, acceptance speech video of Easter Seals Lifetime Achievement Award
- ^ "Inside". mahalo.com. Retrieved 17 March 2018.
- ^ Pete Holmes (October 27, 2011). "You Made It Weird with Pete Holmes". You Made It Weird #2: TJ Miller (Podcast). Nerdist Industries. Event occurs at 37:45. Archived from the original on February 12, 2013. Retrieved December 5, 2012.
- ^ Vida, Vendela. Confidence, or the Appearance of Confidence: The Best of the Believer Music Interviews. No ed. San Francisco, Calif.: Believer, a Tiny Division of McSweeney's Which Is Also Tiny, 2014. Print.
- ^ "Junior Bake Off 2016 Winner announced". BBC Media Centre. BBC Online. 25 November 2016. Retrieved 9 April 2017.
- ^ Pall, Ellen (14 June 1998). "The Long-Running Musical of William Finn's Life". The New York Times. Retrieved 17 March 2018.
- ^ "Neiron Ball, former Raiders LB, in medically induced coma after aneurysm". ESPN. September 26, 2018.
- ^ Research trials in arterio-venous malformations; Rustam Al-Shahi Salman Archived فبراير 17, 2012 at the Wayback Machine
| Classification | |
|---|---|
| External resources |
- CS1 maint: unflagged free DOI
- CS1 الإندونيسية-language sources (id)
- الصفحات بخصائص غير محلولة
- Articles with hatnote templates targeting a nonexistent page
- Short description is different from Wikidata
- Articles containing إنگليزية-language text
- Pages using Lang-xx templates
- Articles with unsourced statements from August 2012
- صفحات بها وصلات إنترويكي
- عيوب خلقية وعائية
- علم الأمراض العياني