متلازمة الرضيع المهزوز

Shaken baby syndrome
الأسماء الأخرىabusive head trauma, non accidental head injury
CTheatInfantAbusiveheadtrauma.png
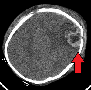
An intraparenchymal bleed with overlying skull fracture from shaken baby syndrome
الأعراضVariable[1]
المضاعفاتSeizures, visual impairment, cerebral palsy, cognitive impairment[2][1]
البداية المعتادةLess than 5 years old[3]
المسبباتBlunt trauma, vigorous shaking[1]
الطريقة التشخيصيةCT scan[1]
الوقايةEducating new parents[1]
PrognosisLong term health problems common[3]
التردد3 per 10,000 babies per year (US)[1]
الوفيات≈25% risk of death[3]

متلازمة الرضيع المهزوز Shaken baby syndrome نمط من الإصابات الخطيرة التي يمكن أن تحدث عندما يقوم شخص راشد أو طفل أكبر عمرًا، بهز طفل رضيع على نحو عنيف. وتشتمل الإصابات المتضمنة في الغالب على نزف في الدماغ والشبكية (الأنسجة الحساسة للضوء التي تبطن مقلة العين). ويمكن أن تؤدي المتلازمة إلى وفاة الأطفال أو تتسبب في إحداث تلف دائم في الدماغ.

ومتلازمة الطفل المهزوز من الحالات التي يجد الأطباء صعوبة في تشخيصها. فالطفل الذي تعرض للهز العنيف قد يبدو أقل يقظة عن المعتاد، كما أنه قد يتقيأ أو تنتابه نوبات مرضية مفاجئة. وقد يكشف فحص العين عن وجود دم في الشبكية، كما قد تكشف الفحوص التصويرية، مثل التصوير المقطعي الحاسوبي والتصوير بالرنين المغنطيسي عن وجود نزيف في الدماغ. وقد يعاني الأطفال المهزوزون بعنف أيضًا من أورام وكدمات، أو أي علامات خارجية أخرى تدل على وجود إصابة في الرأس، أو تلف في الرقبة أو الحبل الشوكي، أو كسور أو حروق، أو أي علامات أخرى تدل على إساءة معاملة الطفل. ويشتبه الأطباء في وجود متلازمة الطفل المهزوز، عندما لا تؤدي عملية الفحص إلى الكشف عن أي سبب آخر محتمل لهذه الأعراض. فالشخص المسؤول عن رعاية الطفل الذي لا يستطيع أو لا يرغب في توضيح كيفية إصابة الطفل بالأذى، قد يثير الشكوك أيضًا.

والأطباء ملزمون أخلاقيًا وقانونيًا بالإبلاغ عن الحالات المشتبه فيه لمتلازمة الطفل المهزوز، إما للشرطة أو السلطات المعنية برعاية الطفولة. وستقوم هذه السلطات باتخاذ الخطوات اللازمة لحماية الطفل من التعرض لمزيد من سوء المعاملة. ويسعى المختصون إلى منع إساءة معاملة الأطفال، عن طريق تقديم المشورة وتوفير خدمات المساندة الأخرى للأسر، خاصة تلك الأسر التي ترتفع فيها مخاطر إساءة معاملة الأطفال. وتشتمل عوامل المخاطرة على المرض الجسدي أو العقلي، والتعرض للمعاملة السيئة، وتوفر مستويات عالية من الضغط والتوتر والعزلة.

المصادر

المراجع

  1. ^ أ ب ت ث ج ح خطأ استشهاد: وسم <ref> غير صحيح؛ لا نص تم توفيره للمراجع المسماة Sha2015
  2. ^ خطأ استشهاد: وسم <ref> غير صحيح؛ لا نص تم توفيره للمراجع المسماة Ad2014
  3. ^ أ ب ت خطأ استشهاد: وسم <ref> غير صحيح؛ لا نص تم توفيره للمراجع المسماة CDC2017

External links

Classification
V · T · D
External resources


قالب:Neurotrauma