تليف رئوي

(تم التحويل من التليف الرئوي)
Pulmonary fibrosis
الأسماء الأخرىInterstitial pulmonary fibrosis
Clubbing of fingers in IPF.jpg
Clubbing of the fingers in idiopathic pulmonary fibrosis
التخصصPulmonology
الأعراضShortness of breath, dry cough, feeling tired, weight loss, nail clubbing[1]
المضاعفاتPulmonary hypertension, respiratory failure, pneumothorax, lung cancer[2]
المسبباتTobacco smoking, environmental pollution, certain medications, connective tissue diseases, interstitial lung disease, unknown[1][3]
العلاجOxygen therapy, pulmonary rehabilitation, lung transplantation[4]
الدواءPirfenidone, nintedanib[4]
PrognosisPoor[3]
التردد>5 million people[5]

التليف الرئوي Pulmonary fibrosis (حرفياً "تندب الرئة")، هو مرض صدري يحدث فيها ندبا في أنسجة الرئة، مما يؤدي إلى مشكلات خطيرة في التنفس. تشكل الندبة، يترافق مع زيادة في النسيج الضام الليفي (عملية تسمى التليف)، مما يؤدي إلى ضعف في الشعيرات الدموية، ويتسبب في نقص إمدادات الأكسجين في الدم. نتيجة لذلك يعاني المصابون من ضيق دائم في التنفس.[6]

في بعض الحالات يمكن تشخيص السبب المحدد للمرض، لكن في حالات أخرى لا يمكن تحديده، في حالة تسمى التليف الرئوي مجهول السبب. لا يوجد علاج معروف لندوب وتلف الرئة الناتج عن التليف الرئوي.[7]

العلامات والأعراض

أشعة إكس على الصدر توضح حالة مصابة بالتيلف الرئوي. تاريخياً، كان يعتقد أن سبب التليف الرئوي هو الأميودارون.

الأعراض الرئيسية للتليف الرئوي:[8]

من أهم أعراض التليف الرئوي هو السعال الجاف غير محدد السبب، ضيق النفس الذي  يزداد عبر عدة شهور في ما يسمى بالأعراض المخفية والتي غالباً ما تبدأ بعد سن 48 الى 52 عاماً، حيث يأتي المريض بأعراض السعال الجاف مع ضيق التنفس والالام في الصدر. ويكتشف المرض بالصدفة عن طريق صور شعاعية بسيطة.

  • كما هو الحال البعض يأخذ بأعراض المرض وبتاريخه المرضي بشكل دقيق واستثناء الاسباب الاخرى للسعال الجاف وضيق النفس مثل أمراض المجاري التنفسية او الربو او أمراض هبوط القلب.
  • بإجراء الصورة الإعتيادية (الأشعة السينية) للصدر يتبعها إجراء صورة طبقية ذات المقطع الدقيق.
  • إجراء تنظير القصبات الهوائية مع أخذ عينات من النسيج الرئوي (في بعض الحالات مثل مرض اللحمانية).
  • أخذ خزعة من النسيج الرئوي عن طريق الجراحة.

الأسباب

العوامل المهنية والبيئية[9]:

- التعرض لبعض المواد والسموم لفترة طويلة من الممكن أن يؤدي للإصابة بتليف الرئة مثل:

  • غبار السيليكا.
  • ألياف الاسبستوس.
  • غبار الحبوب.
  • فضلات الطيور والحيوانات.

- العلاج بالإشعاع ويعتمد على:

  • كمية الإشعاع المستخدمة.
  • هل تم إستخدام العلاج الكيميائي أيضاً.
  • المدة التي تعرض فيها الجسم للإشعاع.

- وجود أمراض بالرئة. بعض الأدوية مثل:

  • العلاج الكيميائي.
  • بعض المضادات الحيوية.

- بعض الأمراض الرئوية مثل:

عوامل الخطر

  • التدخين.
  • الوظيفة: العمل في مجال الزراعة أو التعدين.
  • العلاج الإشعاعي على الصدر.
  • العامل الوراثي.

تكون المرض

التشخيص

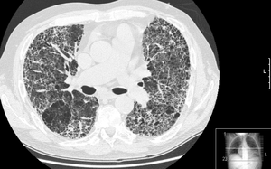
HRCT of lung showing extensive fibrosis possibly from usual interstitial pneumonitis. There is also a large emphysematous bulla.

- إختبارات التصوير:

  • الأشعة السينية X-RAY.
  • الأشعة المقطعية CT.
  • الموجات الصوتية على القلب Echocardiogram.

- إختبارات وظائف الرئة:

  • قياس معدل التنفس: هذا الاختبار يتطلب الزفير بسرعة وبقوة من خلال أنبوب متصل إلى جهاز يقيس كم الهواء الداخل إلى رئتيك ,ومدى السرعة التي يخرج منها الهواء من رئتيك.
  • قياس نسبة الأكسجين.
  • ممارسة إختبار التحمل.
  • منظار القصبات.
  • أخذ عينة من الرئة.

العلاج

يكون العلاج بأساس مبني على التشخيص الدقيق ومعرفة النتائج النسيجية لنوع التليف[10]:

  • ففي بعض الحالات مثل التليف الناتج عن التدخين يكون هناك شفاء تلقائي بعد الإنقطاع عن التدخين.
  • مركبات العلاج بالكورتيزون بأشكاله المختلفة.
  • استعمال علاجات تعمل على التقليل من خلايا التليف (حسب الدراسات النظرية مثل مادة colchicines).
  • علاج الجاما انترفيرن (له استعمال في بعض انواع التليف).
  • علاج البيرفيندين.
  • العلاج التأهيلي، حيث ان تركيز النظريات هنا على الوصول الى مقدار كفاءة رئوية أفضل.
  • العلاج بالأكسجين المنزلي الدائم في حالات نقص الأكسجين او هبوط معدل إشباع الدم حسب معايير محددة.

المضاعفات

مضاعفات التليف الرئوي الفشل الرئوي:


التكهن

رئة في المرحلة النهائية من التليف الرئوي لجثة في المشرحة.

علم الأوبئة

مؤلف الدراسة معدل الإصابة معدل الانتشار عدد السكان السنوات المغطاة
Raghu et al. [11] -- 6.8-16.3 14.0-42.7 U.S. health care claims processing system 1996–2000
Fernandez Perez et al. [12] -- 8.8-17.4 27.9-63.0 Olmsted County, MN 1997–2005
Coultas et al. [13] Male 27.5 30.3 Bernalillo County, NM 1988–1990
أنثى 11.5 14.5

المصادر

  1. ^ أ ب خطأ استشهاد: وسم <ref> غير صحيح؛ لا نص تم توفيره للمراجع المسماة NIH2019
  2. ^ خطأ استشهاد: وسم <ref> غير صحيح؛ لا نص تم توفيره للمراجع المسماة Mayo2019Sym
  3. ^ أ ب خطأ استشهاد: وسم <ref> غير صحيح؛ لا نص تم توفيره للمراجع المسماة Med2019
  4. ^ أ ب خطأ استشهاد: وسم <ref> غير صحيح؛ لا نص تم توفيره للمراجع المسماة Mayo2019Tx
  5. ^ خطأ استشهاد: وسم <ref> غير صحيح؛ لا نص تم توفيره للمراجع المسماة ATS2019
  6. ^ Mayo Clinic Staff. "Definition [of pulmonary fibrosis]". Mayo Foundation for Medical Education and Research. Retrieved 26 July 2014.
  7. ^ "Pulmonary Fibrosis". MedicineNet, Inc. Retrieved 26 July 2014.
  8. ^ Mayo Clinic Staff. "Symptoms". Mayo Foundation for Medical Education and Research. Retrieved 26 July 2014.
  9. ^ التليف الرئوية، كل يوم معلومة طبية
  10. ^ التليف الرئوي، مجلة قلب الأردن
  11. ^ Raghu G, Weycker D, Edelsberg J, Bradford WZ, Oster G. Incidence and Prevalence of Idiopathic Pulmonary Fibrosis. Am J Respir Crit Care Med. 2006;174:810-6.
  12. ^ Fernandez Perez ER, Daniels CE, Schroeder DR, St Sauver J, Hartman TE, Bartholmai BJ, Yi ES, Ryu JH. Incidence, Prevalence, and Clinical Course of Idiopathic Pulmonary Fibrosis: A Population-Based Study. Chest. Jan 2010;137:129-37.
  13. ^ Coultas DB, Zumwalt RE, Black WC, Sobonya RE. The Epidemiology of Interstitial Lung Diseases. Am J Respir Crit Care Med. Oct 1994;150(4):967-72. cited by Michaelson JE, Aguayo SM, Roman J. Idiopathic Pulmonary Fibrosis: A Practical Approach for Diagnosis and Management. Chest. Sept 2000;118:788-94.