ناسور
| Fistula | |
|---|---|
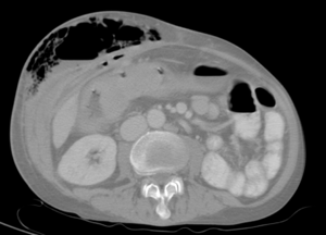
| Abdominal CT with right colocutaneous fistula and associated subcutaneous emphysema. | |
| النطق | |
| التخصص | General surgery |
الناسور fistula هو مجرى غير طبيعي يصل بين عضوين من أعضاء جسم الإنسان أو بين عضو وسطح الجلد، وقد يتم ذلك مباشرة أو عبر جوف. ولهذا فإن ما يسري ضمن هذا المجرى مختلف جداً حسب مكان توضعه والأعضاء التي يصل بينها.[3]
المواقع
قد يكون الناسور من منشأ ولادي congenital؛ وإن تظاهر في مرحلة متأخرة من العمر، أو يكون ثانوياً فيسمى المكتسب acquired، وينجم عن حالات مرضية طارئة كالالتهابات والأورام في مناطق تماس بين أعضاء متجاورة، أو يتكون إثر رضّ يتلو في معظم الأحيان عملاً جراحياً (علاجي المنشأ iatrogenic).
أمراض العين ، والملحقات، الأذن ، والعملية الخشائية
أمراض جهاز الدورة الدموية
أمراض الجهاز الهضمي

أمراض الجهاز العضلي الهيكلي والنسيج الضام
أمراض الجهاز البولي التناسلي
التشوهات الخلقية ، وتشوهات صبغية شاذة
أسباب خارجية
الأنواع
الناسور السري ombilical fistula
هو مجرى يصل بين السرة والمثانة بسبب بقاء ما يعرف بالوشيق ouraqus من الحياة الجنينية؛ أو بين السرة والأمعاء الدقيقة بسبب بقاء القناة المحية (السرية المساريقية duct omphalomesenteric)؛ ولذلك يشكو المصاب بهذا الناسور من خروج مفرزات كريهة الرائحة من السرة بين آن وآخر منشؤها المثانة (بول) أو الأمعاء. وتحدث هذه المفرزات التهاباً في الجلد حول السرة.
هذا الناسور من منشأ ولادي، ويجب التفريق بينه وبين التهابات السرة المكتسبة عند الذكور خاصة بسبب اندخال الأشعار في التجاعيد الجلدية لمنطقة السرة مسببة خمجاً في المنطقة.
الناسور العجزي العصعصي (أو المشعَّر) pilonidal fistula
هو فوهة صغيرة تظهر في أسفل الظهر في منطقة الشق السهمي بين الإليتين. سببه مختلف فيه، لكنه يترافق في الحالات كلها مع كيسة عجزية أو عصعصية خلفه (وهو ما يعرف بكيس الشعر).
الناسور المريئي الرغامي esotracheal fistula
هو شذوذ ولادي تشريحي يحدث اتصالاً بين المريء والرغامى عبر مجرى ذي أشكال ودرجات مختلفة، وقد يترافق مع شذوذات تشريحية أخرى.
يتظاهر هذا الناسور باكراً جداً عند الوليد عندما يبدأ رضاعاته الأولى، فيُحدث لديه استنشاقاً (دخول السوائل من المريء إلى الرغامى).
الناسور الدرقي اللساني thyroglossal fistula
قد يحدث منفرداً أو مرافقاً لكيسة درقية لسانية. يظهر بشكل فوهة صغيرة على الخط المتوسط للناحية الأمامية للرقبة، ويصل الناسور بينها وبين العظم اللامي hyoid bone الموجود فوق الحنجرة، وقد تخرج من هذه الفوهة بعض المفرزات بين الحين والآخر.
الناسور القولوني المثانيcolovesical fistula
هو ناسور مكتسب غالباً يحدث تالياً لآفة أخرى، قد تكون التهابية كما في داء كرون Crohn أو داء الرتوج السينية (الرتاج) diverticulosis التي يؤدي التهابها وتشكّل خراج يلتصق بالمثانة إلى حدوث اتصال مع المثانة عبر فوهة صغيرة، أو يكون السبب ورماً في السيني sigmoid أدى تنخره إلى حدوث هذا الاتصال، كما قد يتلي التعرض للأشعة في حالة المداواة، أو ينجم عن رض جراحي بعد العمليات المجراة على الموثة (البروستات) أو القولون السيني أو المستقيم.
يتظاهر هذا الناسور سريرياً بخروج فقاعات غازية مع البول وبحدوث التهابات بولية متكررة.
يتم وضع التشخيص الأكيد عن طريق التصوير الطبقي المحوري CT.Scan.
النواسير المهبلية المثانية والمهبلية المستقيمة vesico- vaginal and recto - vaginal fistulae
هي نواسير خاصة بالإناث، وغالباً ما تكون مكتسبة بسبب رض جراحي إثر العمليات النسائية أو بعد الولادات العسرة.
يتظاهر الناسور المهبلي المثاني بخروج البول على نحو مستمر من المهبل. أما الناسور المهبلي المستقيمي فتكون مفرزاته برازية أو شبه برازية، وتخرج متقطعة أو مستمرة.
النواسير الشريانية الوريدية arteriovenous fistulae
هي شذوذات تشريحية خلقية، تحدث فيها اتصالات بين شرايين وأوردة في مناطق مختلفة من جسم الإنسان، كالرئة والدماغ وقد تكون خطيرة ومميتة بسبب النزف الذي يحدثه تمزقها العفوي.
الناسور الأذني اللمفي (لمفاوية الأذن) perilymph fistula
هو نوع خاص جداً من النواسير، يحدث الاتصال فيه بين الأذن الباطنة التي تحتوي اللمف السائل والأذن المتوسطة المملوءة هواءً فقط.
تكتسب هذه النواسير إثر الرضوض العادية أو الجراحية، أو بعد الالتهابات، وتحدث في نقطتين ضعيفتين تعرفان بالنافذة البيضوية والنافذة المدورة.
وقد يحدث الاتصال أيضاً بين عظم الخشاء mastoid (إثر تعرضه للالتهابات) وجوف القحف.
الأعراض السريرية: الدوار وانعدام التوازن والغثيان والرأرأة العينية هي أعراض هذا النوع من النواسير، ولكنها أعراض مشتركة مع أمراض أخرى مثل دوار منيير Meniere’s disease. يعتمد التشخيص على التصوير الطبقي المحوري CT.Scan والرنين المغنطيسي M.R.I واختبار قياس السمع audiometry.
الأسباب
العلاج
الناسور السري
علاج الناسور السري جراحي يتم فيه فصل المجرى وربطه من جهة الأمعاء أو المثانة بحسب المنطقة التشريحية للاتصال. والإنذار جيد في الحالتين.
الناسور العجزي العصعصي (أو المشعَّر)
علاجه جراحي، ويكون باستئصال الكيسة استئصالاً واسعاً وكاملاً منعاً للنكس.
الناسور المريئي الرغامي
وهذه الحالة إسعافية تستوجب المداخلة الجراحية السريعة بعد التأكد من الأمر بوساطة التصوير الشعاعي.
الناسور الدرقي اللساني
علاج هذا الناسور جراحي في كل الأحوال، ويجب استئصال المجرى كاملاً مع الجزء من العظم اللامي المتصل به.
الناسور القولوني المثاني
المعالجة فقد تكون دوائية بالصادات، وتعطى فترة طويلة؛ أو جراحية في حالة إخفاق المداواة.
النواسير المهبلية المثانية والمهبلية المستقيمة
العلاج في الحالتين جراحي، ويجب أن تجرى العملية الجراحية بدقة زائدة حين إصلاح مثل هذه العيوب درءاً للنكس.
الناسور الأذني اللمفي (لمفاوية الأذن)
العلاج المحافظ لبعض هذه النواسير يكون بالراحة ومزيلات الاحتقان الأنفي ومضادات التحسس، ويكون مجدياً في معظم الحالات؛ ولابد من الانتظار مدة أشهر قبل اللجوء إلى العلاج الجراحي. وإزالة الحالة الالتهابية إذا كانت السبب في نشوء هذا الناسور أمر واجب.
أما الجراحة فيتم بوساطتها سدّ فوهة الناسور أو ترقيعها بطعم نسيجي.
الإستخدام العلاجي
انظر أيضاً
المصادر
- ^ OED 2nd edition, 1989.
- ^ Entry "fistula" in Merriam-Webster Online Dictionary.
- ^ http://www.arab-ency.com/index.php?module=pnEncyclopedia&func=display_term&id=4922&m=1 الناسور
وصلات خارجية
| Classification | |
|---|---|
| External resources |